아기와 산모의 안전을 지키는
가장 확실한 약속
임신 검진
PRENATAL CARE CHECKUPS
임신 검진
새로여성의원은 풍부한 경험과 노하우를 바탕으로
임신 전 과정을 체계적으로 관리합니다.
새로운 생명의 탄생, 무사히 만날 수 있도록
임신 검진
임신 기간은 새 생명과 만나는 특별한 시간입니다.
임신 준비부터 출산 전까지 각 시기에 필요한 검사는 산모와
아기 모두를 위한 가장 기초적인 배려입니다.
새로여성의원은 산모와 아기가 모두 건강하고 행복할 수 있도록
첨단 검사 장비를 이용하여 정확한 검진을 진행합니다.
따뜻한 시작
든든한 동행
엄마의 마음까지
살피는 진료
정밀하고
정확한 검사
SAERO WOMEN‘S CLINIC ·
SAERO WOMEN‘S CLINIC ·
SAERO WOMEN‘S CLINIC ·
SAERO WOMEN‘S CLINIC ·
SAERO WOMEN‘S CLINIC ·
한 생명을 만나는 여정,
당신의 모든 순간을 함께합니다
처음부터 완벽할 수는 없기에, 그 모든 ‘처음’을 이해해주는 곳이 필요합니다.
찾아오는 변화와 설렘, 불안까지도 품어내는 아주 섬세한 시간.
임신은 단순한 생리적 변화가 아니라 삶 전체가 새롭게 바뀌어 가는 과정입니다.
새로여성의원은 그 여정의 시작부터 마지막까지, 당신 곁에서 따뜻한 동반자가 되어드립니다.
한 생명을 품는 기쁨과 눈물, 그 모든 순간을 가장 소중히 지켜드리는 곳, 새로여성의원입니다.
임신은 언제나 처음처럼 조심스럽습니다
생명의 시작 앞에서, 새로여성의원은 언제나 같은 마음으로 진료합니다.
익숙함보다 섬세함으로, 당신과 아기의 여정을 함께합니다.
감정까지
살피는진료
환자의 이해를 돕는
충분한 설명
진료-검사-결과까지
한 공간에서 산모 중심 시스템
새로여성의원 노하우가 담긴
임신 검진
행복한 만남을 위한 여정, 새로여성의원이 언제나 함께 합니다.
새 생명을 위한준비의 시작
임신 전 검사
임신을 계획 중이라면 내 몸의 상태를 먼저 아는 것이 시작입니다.
혈액·소변·호르몬·감염 여부 등을 사전에 점검하여, 태아가 자라기 좋은 환경을 마련합니다.
- 01 혈액검사
- 전신 건강 상태와 감염 위험 요소 확인
- 빈혈이나 간〮신장 기능, 감염병 항체 등을 미리 확인해 임신 전 건강 기반을 다집니다.
-
- 혈액형 검사
- 빈혈 검사
- 간기능 검사
- 신장기능 검사
- 매독 검사
- HIV 검사
- 풍진 항체 검사
- B형 간염 항원/항체 검사
- 02 정밀 혈액검사
- 보다 자세한 건강 상태 및 위험 요소 확인
- 전문의 면담 및 진찰 후 필요시 호르몬 검사를 진행합니다.
-
- 갑상선·배란 관련 호르몬 이상 여부 확인
- AMH(항뮬러관 호르몬) 검사로 난소 나이 확인
- 03 소변검사
- 감염 여부 및 신장 기능 확인
- 요로 감염 여부와 신장 상태를 파악해 사전 건강 문제를 조기에 발견할 수 있습니다.
-
- 요로 감염 여부
- 혈뇨 여부
- 단백뇨 여부
- 당뇨 가능성 등 확인
04 부인암 검진
- 자궁·난소 건강 상태 확인, 여성질환 조기 발견
- 자궁·난소 건강을 미리 확인해 임신 전 여성질환을 조기에 발견하고 치료할 수 있습니다.
-
- 자궁경부암 검사
- AI 자궁경부 확대촬영 검사
- HPV 검사
- 초음파 검사
- 종양표지자 혈액검사
건강한 만남을 위한 첫걸음
임신 초기 검사
엄마와 아기 모두의 건강을 지키고 최적의 환경을 제공하기 위해
잠재적 위험 요소를 조기에 파악하고 관리하며 건강한 출산 여정을 돕습니다.
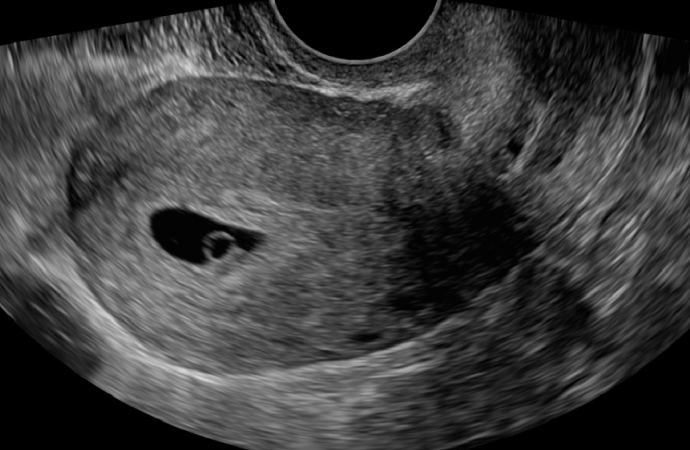
- 01 초음파검사
- 자궁 내 정상 임신 및 태아 심장 박동 확인
- 자궁 내 정상 착상 여부와 태아의 심장 박동을 확인해 임신의 시작을 안정적으로 진단합니다.
-
- 자궁 내 정상 착상 여부 확인
- 태아 심박동 확인
- 자궁/난소 이상 확인
- 02 혈액검사
- 산모와 태아의 건강 상태 평가 및 위험 요인 조기 발견
- 산모의 기본 건강 상태를 파악하고 임신 기간 동안 산모와 태아에게 영향을 미칠 수 있는 위험 요소를 미리 파악하여 적절한 조치를 할 수 있습니다.
-
- 혈액형 검사
- 빈혈 검사
- 항체 선별 검사
- 풍진 검사
- 매독 검사
- B형 간염 검사
- HIV 혈청 검사
- 간기능 검사
- 갑상선 기능 검사
- 혈당 검사
- 신장 기능 검사
- 비타민D 검사
- 03 소변검사
- 감염 여부 및 신장 기능 확인
- 요로 감염 여부와 신장 상태를 파악해 사전 건강 문제를 조기에 발견할 수 있습니다.
-
- 요로 감염 여부
- 혈뇨 여부
- 단백뇨 여부
- 당뇨 가능성 등 확인
04 자궁경부암 검사
- 잠재적인 위험 조기에 발견
- 임신 중에도 자궁경부암이 발생할 수 있기 때문에 조기에 발견하여 건강한 임신과 출산을 돕습니다.
-
- 자궁경부암 검사
- AI 자궁경부 확대촬영 검사
- HPV 검사
- 05 임질/클라미디아 검사
- 산모와 태아 보호 및 합병증 예방
- 두 가지 성병은 임산부 및 태아에게 특히 위험함으로 산모와 태아의 건강을 위한 검사입니다.
-
- STD 검사
아기의 건강한 성장을 확인하는 시간
임신 중기 검사
아기의 건강한 성장을 확인하고 최적의 환경을 위지하기 위한 과정입니다.
잠재적 위험 요소를 조기에 파악하고 관리하여 아기와 가족을 위한 건강한 미래를 준비합니다.
- 01 1차 기형아 선별검사
- 태아 염색체 이상 위험성 예측
- 다운증후군, 에드워드증후군, 파타우증후군 등 태아의 염색체 이상 위험성을 예측합니다.
검사시기 : 임신 11주 ~ 13주 6일 -
- 목덜미투명대(NT) 초음파
- 혈액검사(PAPP-A, hCG)
- 02 2차 기형아 선별검사
- 태아 염색체 이상, 신경계 결손 여부 가능성 확인
- 4가지 지표를 통해 태아 기형 위험도를 평가합니다.
검사시기 : 임신 15주 ~ 19주 6일 -
- 혈액검사(AFP, hCG, uE3, inhibin-A)
- 03 NIPT 검사
- 염색체 이상 고위험군을 보다 정밀하게 검사
- 엄마의 혈액 속으로 들어온 태아의 DNA 일부를 검사해 염색체 수의 이상 여부를 확인합니다.
검사시기 : 임신 10주 이후 -
- 혈액검사(cell-free DNA)
매일을 새롭게, 나를 위한 선택
새로여성의원의 3가지 약속
첫 번째, 여성을 가장 잘 이해하는 진료
여성의 몸과 마음을 누구보다 잘 아는 산부인과 전문의가
1:1 프라이빗 케어를 통해 민감한 고민을 조심스럽게 듣고
불편한 증상을 치료해드립니다.
여성을 존중, 배려하는 섬세한 진료로 치료의 시작부터 끝까지
편안함을 느낄 수 있게 도와드립니다.
두 번째, 몸과 마음에 해가 없는 정직한 치료
의료의 본질은 건강을 되찾고 삶의 질을 높이는 데에 있습니다.
새로여성의원은 환자의 건강을 최우선하여 몸에 부담 주지 않는 진료원칙을 갖고
있으며 과잉 진료 없이 환자에게 필요한 치료만 제공합니다.
한결같이 정직한 진료로 불안한 마음까지 안심할 수 있는 치료를 약속드립니다.
세 번째, 여성의 생애주기별 맞춤 진료
여성의 몸은 시간과 함께 변화하지만 건강한 삶의 기준은 변하지 않습니다.
새로여성의원은 생애주기별로 마주하는 고민을 함께 나누며,
여성의 모든 순간을 지켜드립니다.
건강한 삶을 위한 여정을 처음부터 끝까지, 전문성과 진심으로 안전하게 동행하겠습니다.
SAERO WOMEN‘S CLINIC
LOCATION
충남 천안시 서북구 불당23로 73-8, 213~217호(불당동)
한성필하우스 라드니체 2층(천안시청 맞은 편)
진료시간
월 · 목AM 09:30 – PM 08:00
(여성성형 PM 06:30까지)
화 · 금AM 09:30 – PM 06:30
수 · 토AM 09:30 – PM 01:30
점심시간PM 01:00 – PM 02:00
* 일요일 및 공휴일 휴진
대표전화
여성성형
임신중절
카톡상담

